
Современная наука делает очередной шаг вперед в повышении качества жизни людей: исследователи из Стэнфордского университета представили инновационный препарат, запускающий процессы восстановления и омоложения суставов и костей. Новое средство направлено на борьбу с возрастными изменениями, связанными с потерей хрящевой ткани, и уже продемонстрировало впечатляющие результаты в доклинических испытаниях.
Как работает препарат: ключевая роль 15-PGDH и хондроцитов
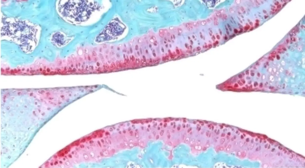
В основе действия инновационного препарата лежит способность блокировать активность белка 15-PGDH (герозима) — фермента, известного тем, что его уровень возрастает с годами и негативно влияет на регенерацию тканей организма. Именно герозим постепенно приводит к деградации важнейших структур суставов и падению их функциональности.
Команда ученых подробно изучила механизм этого белка и доказала, что его блокирование с помощью специально созданной молекулы приводит к запуску естественных процессов обновления хрящевой ткани. Испытания на мышах показали, что после введения препарата усталость суставов, потеря эластичности и болевой синдром заметно снижаются. Более того, у старых животных восстанавливаются утраченные свойства хряща, а мышцы становятся вновь сильными и выносливыми.
Но на этом успехи не закончились — специалисты опробовали препарат и на образцах человеческих тканей, полученных во время операций по замене суставов. В экспериментах брались участки с внеклеточным матриксом и хондроцитами — клетками, отвечающими за наращивание и поддержание структур хряща. Под воздействием препарата эти клетки активизировались и начали формировать полноценную, здоровую хрящевую ткань. Таким образом была впервые доказана перспектива омоложения суставов не только на животных моделях, но и в реальных человеческих клетках.
Открытие нового уровня защиты от артрита и травм у спортсменов
Уникальная разработка стэнфордских ученых открывает новые перспективы для людей, чьи суставы подвергаются высоким нагрузкам. Установлено, что инъекции препарата способны предотвращать развитие дегенеративных изменений после серьезных травм колена, таких как разрывы связок, которые часто встречаются у профессиональных спортсменов и людей, ведущих активный образ жизни.
Это особенно актуально, поскольку восстановление после подобных повреждений всегда было долгим и непредсказуемым, а риск развития артрита или необходимости замены сустава — высоким. Новый препарат позволяет минимизировать такие риски и возвращать суставам подвижность даже после серьезных повреждений.
Исследователи отмечают, что их открытие не ограничивается только омоложением хрящевой ткани. Блокирование белка 15-PGDH способно стимулировать восстановление других органов и тканей: мышц, нервов, а также кроветворных элементов. Такой широкий спектр применения дает надежду на появление эффективных биологических решений для различных возрастных и травматических проблем.
Будущее лечения суставов: от лаборатории к миллионам пациентов
Полученные результаты вызывают большой интерес не только в научном, но и в медицинском сообществе. Препарат уже успешно прошел серию испытаний на животных и человеческих образцах тканей, а сейчас вступил в фазу клинических испытаний. Планируется, что в ближайшие годы инновационная терапия станет доступной для широкого круга пациентов, помогая избежать сложных и дорогостоящих операций по замене коленных и тазобедренных суставов.
Для пациентов с артритом, спортивными травмами или возрастной потерей подвижности суставов это означает новый шанс на полноценную и активную жизнь. По мнению специалистов, когда препарат поступит в медицинскую практику, он сможет стать настоящим прорывом в терапии дегенеративных заболеваний опорно-двигательного аппарата.
Таким образом, открытия ученых из Стэнфордского университета дарят надежду миллионам людей во всем мире. Использование селективных блокаторов 15-PGDH и активизация хондроцитов могут обеспечить эффективное восстановление поврежденного и стареющего хряща, возвращая радость движения и улучшая самочувствие. Будущее восстановления суставов уже не за горами — мы стоим на пороге новой эры в ортопедии и ревматологии, наполненной оптимизмом, благодарю научному прогрессу и сотрудничеству исследователей со всего мира.
Источник: naked-science.ru





